Dental Implant Repair Before & After – Case 1

Dental Implants Repair Before & After Photo – William P. Lamas, DMD – Periodontics & Dental Implants.
Dr. Lamas planned for the removal of the remaining maxillary and mandibular teeth. He would then place Same-Day Dental Implants and load them with a new temporary dentition all done in just one appointment under IV Sedation.
She is finally in her final set of teeth and very happy with the results. We are so happy to have been able to help her during her journey!
Dental Implant Repair Before & After – Case 2

Dental Implants Repair Before & After Photo – William P. Lamas, DMD – Periodontics & Dental Implants.
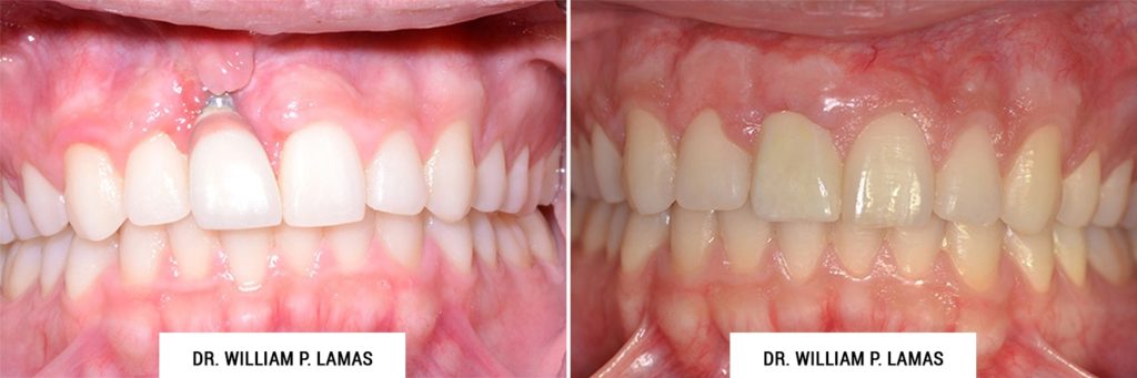
Dental Implant Repair Before & After – Case 3

Dental Implants Before & After Photo – William P. Lamas, DMD – Periodontics & Dental Implants.
This young lady came to Lamas Dental Specialists referred by her orthodontist after completing Invisalign treatment to align her teeth. She wanted to further perfect her smile and was unhappy about the fact her gum line was uneven and the implant placed years before was visible when she smiled. Utilizing very specific periodontal plastic surgery techniques, Dr. Lamas helped her achieve her desired smile. Now you cannot see the implant through the gums and her gumline is even.