Miami Laser Gum Depigmentation (Laser Gum Bleaching)
While people frequently presume that the natural color of everyone’s gum (i.e., gingiva or gingival tissue) is pink, the reality is that, just like with skin tones, the shade of the gingival tissue varies; however, an extremely dark and/or an inconsistent color pattern on the gingivae may be caused by a condition referred to as hyperpigmentation. Traditionally, the treatments for this condition were long and painful; however, today, lasers are used to address hyperpigmentation. At Lamas Dental Specialists in Miami, Dr. William P. Lamas uses innovative procedures, including laser gum depigmentation treatments, to provide patients with the beautiful, natural-looking smile they desire.
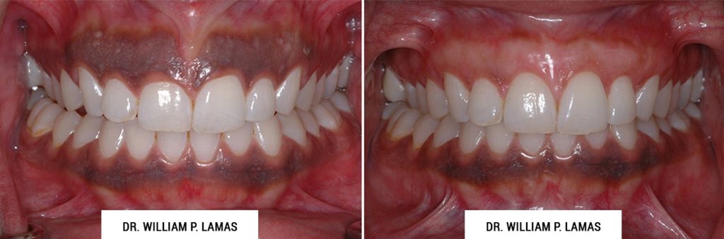
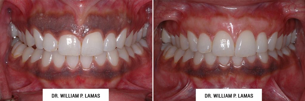
Laser Gum Depigmentation Before & After Photos
Traditional Treatments for Hyperpigmentation in Miami Are Lengthy and Painful
Whereas, previously, hyperpigmentation and variations in pigmentation were treated by scraping away the top layers of gingival tissue using scalpels or a specially-designed dental rotary tool, today, Dr. Lamas uses laser gum depigmentation treatments to address these issues.
Laser Treatments for Hyperpigmentation and/or Variations in Pigment are Available in Miami
Treatments with a dental laser are much less invasive and nearly painless. With this procedure, Dr. Lamas can quickly and easily lighten dark gingiva as well as address pigment variations. Even individuals who have extensive darkening of the gingival tissue can benefit from this safe, comfortable and permanent solution.
What is Hyperpigmentation?
Hyperpigmentation results when melanin, which is a naturally-occurring chemical in the body, is abundant. Although there is no link between hyperpigmentation and any serious health conditions, if the darkened gingivae, and/or variations in pigmentation, are visible while an individual is speaking or smiling, he or she may feel self-conscious.
What is Melanin?
Melanin is responsible for creating the different shades of color throughout the body. It gives the skin, eyes and hair its color. In addition, melanin is the chemical that creates darker skin tones, freckles and darkened gingivae. Just as skin tones vary, so do the tones of the gingivae; however, oftentimes, a darkening of the gingival tissue occurs due to some type of irritant: For example, when skin is exposed to the harmful UV rays of the sun, it begins to darken as a way to protect itself.
What Causes Gum Hyperpigmentation?
Hyperpigmentation has a variety of causes:
- Just like skin, the gingivae also produce melanin and hyperpigmentation occurs when pockets of melanin form within the gingival tissue.
- Additionally, chewing tobacco, genetics, poor dental hygiene, smoking and other irritants can cause variations in pigmentation and/or a darkening effect. When the gingiva darkens due to smoking, the condition is referred to as ‘smoker’s melanosis.’ However, if the individual stops smoking, the color of the gingivae will eventually lighten.
- Certain medications and medical conditions may increase melanin production in the gingiva. Medications known to cause the development of dark spots on the gingival tissue include minocycline and antimalarial medications.
- Endocrine disorders that lead to a darkening of the skin (e.g., Addison’s disease) may also cause the gingival tissue to darken.
- When the gingival tissue looks black or brown instead of pink, and/or they are blotchy, laser therapy can be performed as a means to remove excess melanin. Once this melanin is removed, the treated areas lighten.
- Sometimes, excess melanin production is not to blame for a darkening of the gingivae. Outside factors that could affect the color of the gingiva may be introduced to the gingival tissue when an individual is receiving a filling or while an older filling is being removed. If, during these procedures, a metallic substance becomes embedded within the gingival tissue, a black or blue spot on the gums may result. In addition, serious forms of periodontal disease (trench mouth) can lead to a darkening of the gingival tissue.
Who is at Risk for Gum Hyperpigmentation?
People who naturally have darker skin tones are more prone to hyperpigmentation because they naturally produce more melanin than those with lighter complexions do.
The individuals more prone to this condition include those of Middle Eastern, Asian, African or Mediterranean descent; however, this condition is not selective and people of all ethnicities, and races can develop hyperpigmentation of the gums.
Addressing Darker Gums at Lamas Dental Specialists in Miami
The cause of the darkening will determine how the issue should be addressed: For example, if medication is responsible for the excess melanin, switching to a different medication that does not increase melanin production may be a good option. If smoking is to blame, kicking the habit can make a huge difference in the appearance and health of the gingival tissue. If periodontal disease is present, Dr. Lamas can prescribe antibiotics and/or remove diseased tissue with a dental laser to clear up the infection.
Eliminating Excess Melanin
If excess melanin is responsible for the darkened gums, the least invasive and easiest way to permanently remove dark pigmentation is to use a dental laser. At Lamas Dental Specialists in Miami, Dr. Lamas addresses darkened gingivae and variances in pigmentation with a procedure referred to as laser gum depigmentation. He performs this revolutionary procedure in his dental office. This innovative procedure offers patients a quick and easy way to eliminate discolored, hyperpigmented and/or blotchy gingival tissue.
What is Laser Gum Depigmentation (Laser Gum Bleaching)?
This procedure is designed to treat hyperpigmentation and color variances of the gingivae. It is a minimally invasive procedure that does not require the use of incisions or sutures. Laser gum depigmentation can be compared to the laser skin resurfacing techniques that are used to address skin imperfections and diminish the signs of aging.
Using the energy emitted from his dental laser, Dr. William P. Lamas can destroy the uppermost layer of cells on the gingival tissue to reveal the lighter tissue that lies beneath. When the dark, upper layers of cells are destroyed, the excess pigment is as well: The same is true for variances in pigmentation. Following this procedure, there is no lengthy downtime. Many of Dr. Lamas’ patients attain the results they desire with a single treatment session. As time passes, the results continue to improve leaving the patient with healthier gums that have a more even tone. The results achieved during this treatment are permanent.
Benefits of Laser Gum Depigmentation (Laser Gum Bleaching) with Dr. William P. Lamas in Miami
While hyperpigmentation can cause the gingivae to look splotchy and/or dark, the condition itself is not considered dangerous; nevertheless, an individual’s self-confidence level and self-esteem can be negatively affected by these gum characteristics. Using this revolutionary depigmentation procedure, Dr. Lamas can simply and effectively resolve discoloration issues related to a patient’s gingival tissue.
This procedure offers patients:
- a quick, non-invasive way to improve the aesthetics of the gum to promote greater confidence levels and improved self-esteem; as well as
- a fast healing process with only minimal discomfort.
Is Laser Gum Depigmentation (Laser Gum Bleaching) Safe?
Yes, the gum depigmentation procedure that Dr. William P. Lamas performs at Lamas Dental Specialists in Miami is a safe and effective, FDA-approved method for treating hyperpigmentation. In addition, the results attained during this procedure are permanent.
Who Should Consider Laser Gum Depigmentation (Laser Gum Bleaching) in Miami?
Individuals who have dark and/or splotchy-looking gingival tissue may want to consider scheduling an appointment at Lamas Dental Specialists in Miami. At the initial consultation, Dr. William P. Lamas will examine the patient’s gingival tissue to determine if a laser gum depigmentation procedure would be helpful in lightening the tissue and/or addressing discolored areas throughout the gum.
Individuals who have hyperpigmentation in conjunction with a gummy smile should consider having Dr. Lamas address both issues with laser dental treatments at his office in Miami.
Preparing for a Laser Gum Depigmentation (Laser Gum Bleaching) Treatment: The Initial Consultation at Lamas Dental Specialists in Miami
Individuals who are considering a depigmentation treatment with Dr. William P. Lamas need to ensure that their gingival tissue is in good condition prior to their procedure; therefore, any periodontal infections or cavities that are present must be addressed before the procedure can be performed.
Patients also need to inform Dr. Lamas of any medications they are currently taking. Furthermore, health conditions, including those that have nothing to do with the color changes in the gingival tissue, need to be discussed.
Dr. Lamas will want to examine the patient’s mouth during this consultation. Patients are always encouraged to ask questions and/or voice any concerns they have about the treatments being considered.
The Laser Depigmentation Procedure: What to Expect
Prior to beginning the laser depigmentation procedure, Dr. Lamas will examine the patient’s gingival tissue again to ensure there are no infections or tooth decay present. If an infection or tooth decay is present, these issues will need to be resolved before the depigmentation procedure can be performed.
1. The procedure begins with Dr. Lamas numbing the area being treated with a topical anesthetic. This ensures the patient remains comfortable throughout the procedure.
2. Using the dental laser, he targets discolored areas of the gingiva and carefully removes thin layers of gingival tissue in those specific areas.
3. This process continues until the gingiva appear lighter. By removing the excess pigment, Dr. Lamas is essentially ‘bleaching the gums.’
How Long Does a Laser Gum Depigmentation (Laser Gum Bleaching) Treatment in Miami Take?
The majority of Dr. William P. Lamas’ laser gum depigmentation treatments take less than an hour. However, the length of treatment varies depending on the patient’s gingival coloration.
Is a Laser Depigmentation Treatment Painful?
Patients should expect to experience some mild discomfort; however, the pain is minimal and prescription pain medication following treatment is not necessary. According to Dr. Lamas’ patients, the most common post-surgical symptoms are itching and mild discomfort.
Laser Gum Depigmentation (Laser Gum Bleaching): The Recovery Process
Typically, since a dental laser was used instead of a scalpel, there is little to no bleeding or inflammation present following this procedure.
The recovery process itself is simple:
- Patients have no restrictions in relation to food or drink.
- The majority of Dr. Lamas’ patients return to school or work directly after their depigmentation procedure.
- A special mouth rinse may be prescribed: This rinse is designed to help keep the gingivae clean during the healing process.
- Patients who have sensitive gums may experience some mild tenderness; however, this symptom can be addressed with over-the-counter medications, such as Tylenol or Advil.
- Since sedatives are not used during the procedure, patients can drive directly thereafter.
- The healing process is usually complete within 2 weeks of the procedure.
- The results achieved with this procedure can last a lifetime.
How Much Does a Laser Gum Depigmentation (Laser Gum Bleaching) Treatment in Miami Cost?
As with any procedure, the cost of depigmentation treatments varies depending on the specific needs of the patient. The only way to determine how much a depigmentation procedure will cost is to schedule an initial consultation with Dr. Lamas at Lamas Dental Specialists in Miami.
Schedule Your Initial Consultation
To find out if laser gum depigmentation can provide you with the results you desire, contact the office today at 305-440-4114 and schedule your consultation with Dr. William P. Lamas. During your consultation, he will examine your gingival tissue to determine which treatments are a feasible option for you. If laser gum depigmentation, or some other treatment is recommended, your dental benefits will be checked and payment options can be discussed. Lamas Dental Specialists is located in Miami at 2645 SW 37th Avenue, Suite 304.
Rating: 5
Dr. William P. Lamas Reviewed by Elena Garcia
“Dr. Lamas THANK YOU for your great service your dedication and your passion for what you do!! I recommend him to any one who is seeking a great periodontist!! No case is too difficult or too complex for him!! Great office, Great doctor and awesome Team!!“
RELATED PROCEDURES:
DENTAL IMPLANTS
- Dental Implants
- Dental Implant Repair
- Dentures Vs. Dental Implants
- All-on-4® Dental Implants
- Single Tooth Replacement
- Multiple Teeth Replacement
- Full Teeth Replacement
- Same-Day Dental Implants
- Metal-Free Dental Implants
- TeethXPress®
- Implant Failure Treatment
ORAL SURGERY
- Bone Grafting
- Jaw Surgery
- Treatment Options
- TMJ Disorder
- Wisdom Teeth Removal
- Pericoronitis
- AlloDerm® Dental
- Dental Crown Lengthening
- Gum Grafting
- Gum Recession Treatment (Surgery)
- Gummy Smile Correction
- LAPIP
- LANAP
- Laser Gum Contouring (Gum Lift)
- Laser Gum Depigmentation (Gum Bleaching)
- Laser Periodontal Therapy
- Lip Repositioning
- Periodontal Plastic Surgery
- The Pinhole Surgical Technique™
- Teeth Cleaning
- Teeth Whitening
TECHNOLOGY OFFERED
- Plasma Rich Growth Factors
- Sedation Dentistry
- Oral Cancer Screening
- Oral DNA Testing

