Miami Same-Day Dental Implants
For decades, the only answer for missing teeth has been removable prosthetics: While the removable dental prosthetics serve their purpose, concerns related to slipping dentures usually remain in the back of every wearers mind. These concerns led to the use of dental adhesives, which are unreliable and messy; however, dental implants have taken tooth replacement to a whole new level. When placed by a Dental Implant Specialists, these teeth mimic the natural tooth, almost flawlessly. At Lamas Dental Specialists in Miami, Dr. William P. Lamas uses the Same Day Dental Implant Technique to provide patients with strong, reliable and beautiful dental implants in a single visit.
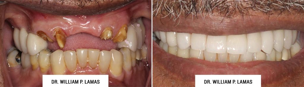
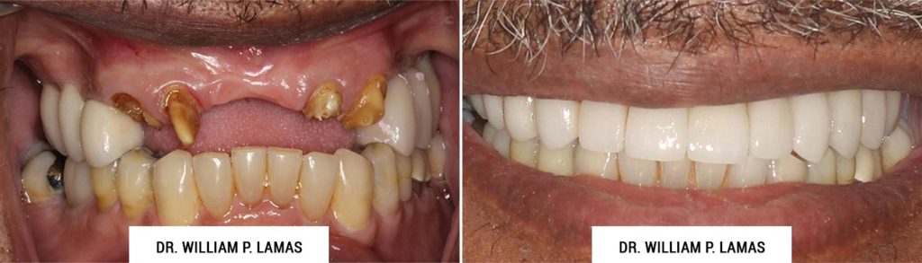
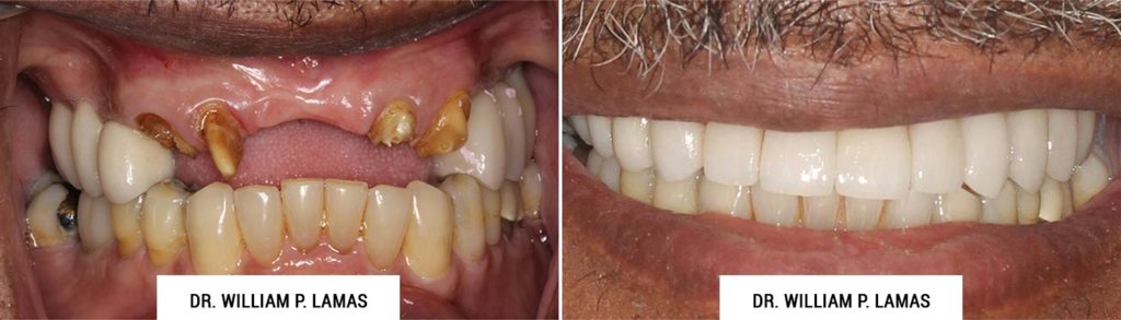
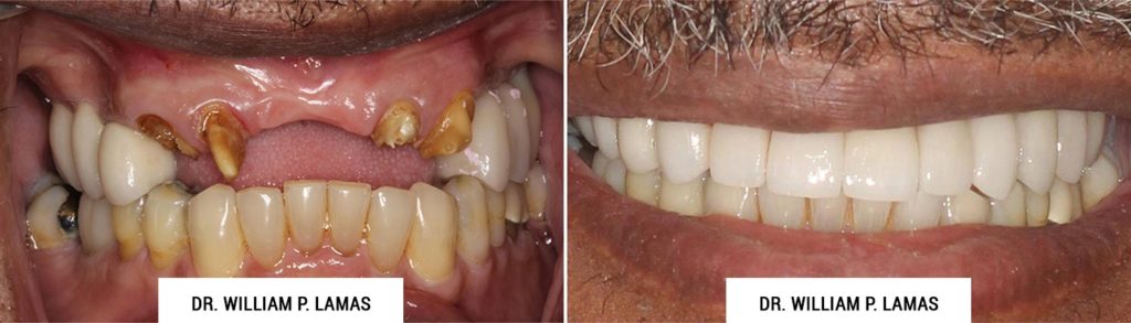
Same-Day Dental Implants Before & After Photos
How Soon Does a Tooth Need to Be Replaced?
Promptly replacing a lost tooth is recommended: Once a tooth is lost, the pressure that is placed on the remaining teeth increases substantially, which can lead to difficulty chewing and cause damage to the teeth adjacent to the empty space. With Same Day Dental Implants in Miami, Dr. Lamas can replace the missing tooth during a single session; thus, reducing the pressure on the remaining natural teeth to prevent further damage.
Superior Surgical Techniques, Quality Products and Innovative Treatment Options at Lamas Dental Specialists in Miami
The surgical skill that Dr. William P. Lamas possesses in combination with the innovative products, materials and techniques he utilizes allows him to provide his patients with beautiful, natural-looking results: These are just a few of the reasons that the Miami Same Day Dental Implant procedure at Lamas Dental Specialists is the perfect solution for those with missing teeth.
The Benefits of Dental Implants
Today, people are choosing to replace their missing teeth with dental implants. These implants are allowing people to eat the foods they love again, smile and even laugh out loud, things that many individuals who wear removable dental prosthetics avoid. At Lamas Dental Specialists in Miami, Dr. Lamas provides individuals with solutions for missing teeth using a variety of techniques and procedures: One of which is Same Day Implant Surgery.
Working Hand-in-Hand to Achieve Optimal Results
Dr. William P. Lamas believes that working with a patient’s other dental professionals (e.g., general dentist) is essential to ensuring the patient receives optimal Same Day Dental Implant Surgery results. Furthermore, all a patient’s dental professionals can work together to restore or greatly improve a patient’s overall oral health.
Same Day Dental Implants in Miami: In and Out
When an individual schedules a Miami Same Day Dental Implant procedure, he or she will walk into Lamas Dental Specialists in Miami with missing teeth and then leave a few hours later with a full set of beautiful, natural-looking teeth.
Benefits of Same Day Dental Implants in Miami:
- If you have a tooth extracted, Dr. Lamas can replace it with an implant fixture directly thereafter.
- There is no waiting period to place the teeth.
Even if you are not a good candidate for a Same Day Dental Implant Procedure at this time, there may be other procedures that Dr. William P. Lamas can perform to prepare your mouth for dental implants.
Jawbone Deterioration
Deterioration of the jawbone occurs in the area where the tooth is missing because the jawbone has nothing to hold on to; therefore, nature takes away the bone in the jaw because it is no longer ‘necessary.’
Unfortunately, this deterioration not only affects the individual’s ability to speak and chew, it can also cause changes in facial characteristics: One such change is cheeks that appear sunken in (facial collapse). Facial collapse tends to make an individual look older than he or she actually is. That said, if teeth are replaced promptly with Same Day Dental Implant surgery, jawbone deterioration is of no concern.
When dental implants are placed and properly maintained, the bone is preserved because it is still being used. In addition, maintaining a dense, strong bone with dental implants prevents facial collapse.
A Same Day Dental Implant Consultation with Dr. Lamas in Miami
During Your Same Day Dental Implant consultation, Dr. William P. Lamas wants to know about your health history as well as your dental history. If you have any films of your teeth, please bring them with you to your initial consultation.
If you have any health issues that could affect your body’s ability to heal, please inform Dr. Lamas of these conditions at this time. Conditions that he needs to know about include diabetes, heart disease and/or hypertension.
In addition, if you are taking any prescription medication, herbal supplements or over-the-counter medications, please let him know. Also, if you are allergic to any medications or to latex, Dr. Lamas will want to know.
Please feel free to ask questions, Dr. Lamas and his staff are always happy to answer any questions patients have. Some of Dr. Lamas’ patients find it helpful to write down their questions and bring them to their appointment.
An Implant Fixture Replaces the Natural Root
Dental implant fixtures are small titanium posts (or metal free, all-ceramic posts) that are placed in the jawbone: These implant fixtures are placed in the areas of the jawbone where the natural roots (and teeth) are missing. Once the posts are in place, the osseointegration process will begin.
Osseointegration: The Bonding of the Post to the Bone
During the process of osseointegration, the bone bonds with the artificial titanium or all-ceramic post; thus, making these implants very similar to the natural root. Furthermore, unlike removable dental appliances, implant fixtures keep the jawbone from deteriorating. Another benefit of dental implant fixtures is that they help preserve the facial structure.
A Custom-Designed Same Day Dental Implant Consultation
Each patient is unique; therefore, Dr. William P. Lamas creates individualized Same Day Dental Implant procedure plans.
If you lose a tooth, multiple teeth or already wear some sort of removable dental appliance, consider contacting Lamas Dental Specialists to schedule a Same Day Dental Implant consultation.
At your consultation at his office in Miami, Dr. Lamas will examine your mouth, your dental appliance (if applicable) and ask questions about what you would like to accomplish with dental implants. If he believes you are a good candidate for dental implants, he will let you know at this appointment.
If you are not a good candidate:
The good news is that the dental implant and tooth restoration industry is always changing, which means that, even if restorative techniques must be utilized, at some point, most people will be good candidates for Miami Same Day Dental Implant surgery.
Replacing the teeth: Here are the issues that Dr. Lamas can address with Same Day Dental Implants:
- a single missing tooth;
- multiple missing teeth;
- a lower partial denture;
- an upper partial denture;
- a lower denture; and
- an upper denture.
A Same Day Dental Implant Procedure in Miami: Cost
Since every patient is unique, Dr. William P. Lamas creates a treatment plan specifically designed to meet each patient’s needs, as such, the cost of Same Day Dental Implants varies from one person to the next; therefore, the only way to determine if you are a good candidate for dental implants as well as how much a Same Day Dental Implant surgery would cost is to schedule your initial consultation.
Some dental insurance plans will cover a portion of dental implant procedures; therefore, Dr. Lamas encourages his patients to contact their insurance company to find out about their benefits.
If your insurance company will pay a portion of your Same Day Dental Implant Procedure, ask them if there is anything they need from Dr. Lamas in order to cover these costs.
Even if your dental insurance will not cover your implants, other financing options are available.
CareCredit
– This is a credit card that allows patients to make monthly payments based on their financial circumstances.
We also take
– Visa, MasterCard, American Express and Discover.
The Same Day Dental Implant Procedure in Miami: What to Expect
Very few dentists in the Miami area offer their patients sedation dentistry; however, at Lamas Dental Specialists, Same Day Dental Implant surgery usually takes several hours to complete and since Dr. Lamas wants his patients to remain comfortable, which is why he has decided to use sedation.
The All on 4 Dental Implant Method
Dr. William P. Lamas completes a Same Day Dental Implant procedure in Miami in a single appointment. The concept used to replace missing teeth on an entire arch involves placing 4 implant fixtures into each arch (lower and/or upper teeth). This technique is referred to as the All on 4 method. This technique makes dental implant surgery available to many patients who have bone loss.
When the All on 4 method is used, the dental implants placed can hold a large dental bridge that looks and feels like natural teeth. Previous methods for replacing teeth on an entire arch involve the use of at least 6 implant fixtures, which adds to the overall cost of the procedure. In addition, placing 6 dental implant fixtures on a single arch is time-consuming.
Placing the Implants: A Same Day Dental Implant Procedure in Miami
During your implant procedure, you will receive some form of anesthesia. The anesthesia we offer at Lamas Dental Specialists in Miami includes conscious oral sedation, conscious IV sedation (frequently referred to as ‘Twilight’) and nitrous oxide (commonly referred to as laughing gas). We use anesthesia so that our patients will be comfortable throughout their Same Day Dental Implant procedure. Furthermore, since many people experience anxiety when they have dental work performed, these medications help the patient remain calm during their dental procedure.
After the anesthesia is administered and the patient is comfortable, the Same Day Dental Implant procedure will begin.
Dr. William P. Lamas strategically places the implants at a particular angle. By angling the implant fixture, the teeth receive more support. Furthermore, by angling the implants, the alveolar nerve and the sinus cavities are avoided. With this method, the teeth are secure and the likelihood of the patient needing bone grafting is greatly reduced.
During surgery, Dr. Lamas takes the time to prepare each patient’s gums in such a way as to provide an optimal aesthetic result. This aspect of dental restoration and dental implant surgery is essential to providing the patient with the beautiful, natural-looking smile he or she desires. Also, when necessary, Dr. William P. Lamas can use a variety of periodontal procedures that are specifically designed to regenerate gum tissue and lost bone.
Once the implants are placed, they will bond with the jawbone through a process called osseointegration. The bonding process takes from 3 to 6 weeks; however, patients can function as usual.
Recovering After a Same Day Dental Implant Procedure in Miami
As with any surgical procedure, you will need some time to recover; however, your recovery time will be shorter. The teeth and implant fixtures being connected on the same day allows for this shorter recovery time.
For the most part, patients do not require prescription pain relievers; however, Dr. Lamas may prescribe you an antibiotic.
How long your recovery lasts following Same Day Dental Implant surgery depends on the number of dental implants you had placed.
You will be eating a soft diet; therefore, before you go to Lamas Dental Specialists in Miami to have your procedure, stock up on foods like pasta, yogurt, mashed potatoes, soups and bread. Dr. William P. Lamas will inform you when you can start eating a normal diet again.
Caring for Your Same Day Dental Implants in Miami
Once healing is complete, the tedious tasks that are necessary to clean a removable denture are eliminated. Now, your new teeth just need to be cared for in the same way you would care for natural teeth. Regular flossing brushing and keeping up with your biannual cleanings will ensure your beautiful smile remains intact for years to come.
If patients have an oral stimulator and/or an irrigator, these can be used to keep the gums healthy and the implants clean.
As a periodontist, Dr. William P. Lamas has been helping people regain their beautiful smiles through the use of dental implants and restoration techniques. If you are considering dental implants, contact Lamas Dental Specialists today at 305-440-4114 to schedule your initial consultation. The sooner you replace your missing teeth, the better it is for your remaining teeth and jawbone. We are located at 2645 SW 37th Avenue, Suite 304, in Miami.
Rating: 5
Dr. William P. Lamas Reviewed by Elena Garcia
“Dr. Lamas THANK YOU for your great service your dedication and your passion for what you do!! I recommend him to any one who is seeking a great periodontist!! No case is too difficult or too complex for him!! Great office, Great doctor and awesome Team!!”
RELATED PROCEDURES:
DENTAL IMPLANTS
- Dental Implants
- Dental Implant Repair
- Dentures Vs. Dental Implants
- All-on-4® Dental Implants
- Single Tooth Replacement
- Multiple Teeth Replacement
- Full Teeth Replacement
- Same-Day Dental Implants
- Metal-Free Dental Implants
- TeethXPress®
- Implant Failure Treatment
ORAL SURGERY
- Bone Grafting
- Jaw Surgery
- Treatment Options
- TMJ Disorder
- Wisdom Teeth Removal
- Pericoronitis
GUM DISEASE TREATMENTS
- AlloDerm® Dental
- Dental Crown Lengthening
- Gum Grafting
- Gum Recession Treatment (Surgery)
- Gummy Smile Correction
- LAPIP
- LANAP
- Laser Gum Contouring (Gum Lift)
- Laser Gum Depigmentation (Gum Bleaching)
- Laser Periodontal Therapy
- Lip Repositioning
- Periodontal Plastic Surgery
- The Pinhole Surgical Technique™
- Teeth Cleaning
- Teeth Whitening
TECHNOLOGY OFFERED
- Plasma Rich Growth Factors
- Sedation Dentistry
- Oral Cancer Screening
- Oral DNA Testing
