Miami Gum Recession Surgery
When we think of a healthy smile, we usually envision a set of bright, gleaming teeth; however, did you know that the gums are just as important as the teeth are to a beautiful smile? Without strong, healthy gums, the teeth are at risk of shifting and/or falling out. When an individual has a receding gumline, the risk of tooth loss is substantial.
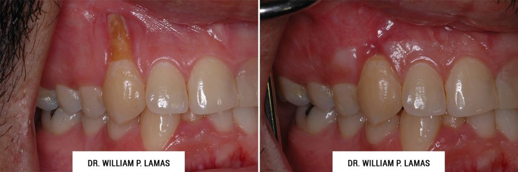
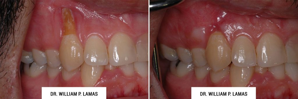
Gum Recession Treatment (Gum Grafting) Before & After Photos
What is a Receding Gumline?
A receding gumline is a condition in which the patient’s gingival tissue (gum tissue) is no longer covering the roots of his or her teeth. Once these roots are no longer being protected by this tissue, they become susceptible to disease and decay. If gingival recession is not treated promptly, tooth loss is likely. Gum grafting surgeries, which are also referred to as gum recession surgeries, are outpatient procedures that Dr. William P. Lamas performs, at his office in Miami.
What Causes the Gums to Recede?
Gingival recession is frequently caused by gum disease (periodontal disease); however, it can occur for a variety of reasons. Finding and addressing the underlying cause is essential to providing the appropriate treatment after the patient’s gum recession surgery and healing is complete; otherwise, a recurrence of recession is probable.
Common causes of gingival recession include:
-
Periodontal Disease
– the July 2018 issue of The Journal of the American Dental Association highlights the study Periodontitis in U.S. Adults: National Health and Nutrition Examination Survey 2009-2014. Researchers found that a little over 40 percent of the adults in the U.S., who are 30 years of age or older, with at least one natural tooth, have periodontitis. Periodontitis is an advanced form of gum disease that could lead to gingival recession.
-
Brushing with too much pressure or using a hard-bristled toothbrush
– unfortunately, many people believe that brushing harder and/or using a hard-bristled toothbrush will clean their teeth better; however, these practices damage the protective coating on the teeth (i.e., the enamel) as well as the gingival tissue at the neck of each tooth that is protecting the roots and other support tissues that lie beneath.
-
Bruxism (tooth grinding)
– it is the constant pressure that is placed on the teeth and gums as the patient presses his or her teeth together while moving them back and forth that causes damage to the gingival tissue as well as to the teeth themselves. Since this action occurs while the patient is asleep, it is done subconsciously; therefore, protecting the teeth and gingival tissue is the only way to prevent damage. Many patients with bruxism wear a custom-made mouthguard while they sleep to protect their teeth and gingival tissue.
Other potential, but less common, reasons for gingival recession include having thin gum tissue as well as wearing braces, removable retainers or Invisalign aligners.
Recognizing Gum Disease
The first step in preventing gingival recession due to gum disease is knowing how to recognize it.
There are four stages of gum disease:
1. Gingivitis
– this is the first stage of periodontal disease. Bacteria-filled plaque and tartar have been building up along the gumline, irritating the tissue. Symptoms may include tender, swollen gingival tissue that bleed while brushing and flossing. Unless treatment is sought, these bacteria continue multiplying, releasing acids that damage the teeth and gums. Left untreated, gingivitis can progress to periodontitis.
2. Periodontitis
– the gum tissue continues to be aggravated by the accumulating tartar, plaque and bacteria. Heavier bleeding occurs while flossing and brushing. Pockets may begin to form along the gumline. These pockets fill with bacteria, where they continue to multiply. Left untreated, moderate periodontitis sets in.
3. Moderate Periodontitis
– at this stage, the support structures are sustaining irreversible damage. The individual may experience pain upon chewing. As the pockets that formed previously deepen, the gingival tissue begins separating from the teeth and the roots are now becoming visible. Once they are exposed, the roots are vulnerable to the bacteria-filled tartar and plaque. At this stage of the disease, the gingival tissue may appear bright red or purplish in color. Although the damage being done to the structures supporting the teeth is permanent, seeking treatment prevents further damage and there are restoration procedures available at Lamas Dental Specialists in Miami.
4. Severe Periodontitis
– if the disease progresses to this stage, the support structures of the teeth are suffering severe damage. Since the teeth are lacking support, they may begin to loosen and/or shift, which ultimately results in tooth loss. Other symptoms of severe periodontitis include pus accumulation between the gingival tissue and the teeth as well as chronic halitosis (bad breath).
The Gum Recession Process
The gum recession process is an extremely slow one: For this reason, many people do not realize their gums are receding until they begin experiencing tooth sensitivities while eating foods that are hot or cold. Once the gums have receded, gum recession surgery may be the only way to correct the problem.
How Bacteria Destroy the Teeth and Gums:
The bacteria responsible for causing gum disease consume the food particles and sugar that remain in the mouth after we eat and drink.
The bacteria cover the teeth in a sticky biofilm. This biofilm is referred to as dental plaque. As the bacteria consume the food particles and sugar, they begin to release acids. These acids attach to the sticky biofilm on the teeth and begin to eat away at the tooth enamel, which is the protective barrier of the tooth. As the tooth enamel is broken down, the teeth become vulnerable and decay sets in.
Without treatment, the bacteria continue multiplying. Pockets begin to form along the gumline and the disease continues to progress. The pockets deepen, providing the bacteria with the perfect environment; thus, they continue to thrive. As the pockets deepen and fill with pus, which is a combination of dead white blood cells, bacteria and tissue debris, the gingival tissue starts pulling away from the teeth.
Now, the bacteria begin consuming the supporting tissues and bone at the neck of the teeth. The bone begins to recede and so does the gingival tissue. With the gingival tissue receding, the root of the tooth is now clearly visible and extremely vulnerable.
Gum Recession Surgery at Lamas Dental Specialists in Miami
Dr. William P. Lamas performs several different gum recession surgeries at his office in Miami. The surgical procedures used to address this condition are gum graft surgeries. These quick, relatively simple surgeries involve removing healthy gum tissue or using donor tissue to build up the portion of the gingival tissue that has receded.
Some people want to have gum grafting surgery to improve their smiles, whereas others choose to have this procedure to repair the damage and protect the exposed tooth. Either way, Dr. Lamas has the experience, skill and state-of-the-art equipment necessary to address receding gumlines of all severity levels.
Types of gum grafting surgeries available in Miami:
The type of gum grafting surgery Dr. William P. Lamas recommends will depend on the severity of the patient’s gum recession.
The three gum grafting surgeries Dr. Lamas performs at his office in Miami are:
1. Pedicle (Lateral) Grafts
This method is ideal for people with an abundance of gingival tissue near the area requiring treatment.
Before starting the procedure, Dr. William P. Lamas administers local anesthesia to the treatment area. This anesthesia numbs the area so that the patient remains comfortable throughout the gum grafting surgery. Dr. Lamas may also decide to gently lift some of the existing gum tissue, exposing the root a bit more. He does this so he can clean off tartar and plaque that have built up on the root before he begins the surgery.
- Once the surgery begins, Dr. William Lamas will graft some tissue from the gum near the tooth being treated.
- He will only partially cut the tissue away, leaving one of its edges attached.
- Dr. Lamas gently stretches the tissue in such a way as to cover the exposed root.
- He uses stitches to hold the graft in place.
-
Free Gingival Grafts
This method is used when an individual has thin gingival tissue and needs additional tissue to enlarge his or her gums.
Before the procedure begins, Dr. Lamas administers local anesthesia to ensure the patient remains comfortable during the procedure. At this time, he may also choose to clean the exposed root before starting the surgery.
- During this procedure, Dr. William P. Lamas removes a small section of tissue from the patient’s palate (roof of his or her mouth).
- He stitches this piece of tissue to the area of the gum where the root is exposed.
-
Connective Tissue Grafts
Before Dr. Lamas begins this procedure, he will administer local anesthesia to the patient. This anesthesia will be administered in the area being treated. Dr. William P. Lamas may also choose to clean the root prior to starting the gum recession surgery.
- During this procedure, Dr. Lamas removes tissue from the patient’s palate. The free gingival graft and connective tissue graft differ in that the tissue Dr. William Lamas removes for this procedure is taken from beneath the top layer of tissue.
- Dr. Lamas creates a flap in the patient’s palate.
- He carefully excises some of the tissue just beneath the flap.
- Dr. William Lamas takes the tissue he collected and stitches it onto the gum tissue in the treatment area to cover the exposed root.
- Using stitches, he closes the flap that was created on the patient’s palate.
Instead of removing gum tissue from the patient’s mouth, Dr. Lamas can obtain tissue from a tissue bank.
Recovering from Gum Recession Surgery – What to Expect
Pain and discomfort vary from one person to the next. Patients who had tissue removed typically experience more pain than a patient who received donor tissue from a tissue bank.
When tissue is removed from the palate, pain is usually felt in that area for several days. Following surgery, sensitivity to foods that are hot and cold is possible; therefore, ask Dr. Lamas about using a desensitizing mouthwash or toothpaste. Most people are able to return to work or school the day after their gum recession procedure.
The entire healing process is generally rather short, only taking a week or two. The gums will look and feel different as they heal, most patients state that their gums feel firmer to the touch and seem tighter. Over-the-counter pain relievers can help manage any discomfort the patient experiences during recovery.
Follow-Up Appointment After Gum Recession Surgery with Dr. William Lamas in Miami
At the follow-up appointment, Dr. Lamas will examine the patient’s mouth to ensure that the gingival tissue is healing as expected. If any stitches remain, these may also be removed at this time.
Patients can help themselves heal quicker by:
- Avoiding strenuous exercises until Dr. Lamas releases them to do so.
- Using special mouthwash designed to control plaque buildup.
- Avoiding brushing and flossing at the treatment sites.
- Staying away from foods that are difficult to eat.
- Taking any medications that Dr. William P. Lamas provides, especially antibiotics.
- Discontinuing the use of all tobacco products and vaping.
- Eating foods that are cool and soft.
Potential Complications Associated with Gum Recession Surgery
Complications related to gum recession surgery are rare and minimal. Even so, knowing potential issues that could arise is important.
Possible complications include:
- Inflamed gingival tissue.
- Gums that bleed.
- Sensitive teeth.
- Infection.
- Spaces between the teeth.
- Teeth feel looser (which is usually only temporary).
- On occasion, the gingival tissue graft may not attach properly to the site being grafted. This complication is extremely rare; however, in the event that it happens, the patient may require another surgery.
- Some people are unhappy with the way that their smile looks following their surgery. In a situation such as this, Dr. Lamas may be able to reshape the patient’s gumline to help provide him or her with the amazing smile he or she wants.
When to Seek Assistance
If bleeding continues for an extended period of time, patients should contact Dr. Lamas’ office right away. In addition, patients who notice symptoms of infection also need to call Lamas Dental Specialists at 305-440-4114 immediately.
Symptoms of infection include:
- Fever.
- Pus.
- Unexpected swelling, pain and/or bruising.
- Bleeding that persists for more than 20 minutes, even though pressure is being applied.
How Much Does Gum Recession Surgery in Miami Cost?
Each patient is unique; therefore, the only way that Dr. William P. Lamas can quote a price is to examine you and determine which gum recession surgery can correct your receding gumline. If you live in or near South Florida, contact his office to schedule your consultation and find out if gum recession surgery is for you.
The Importance of Seeking Treatment
If you are trying to determine whether gum recession surgery is for you, you may want to consider the alternatives:
Neglecting to seek treatment may lead to the development of a more severe form of gum disease, resulting in tooth loss. In addition, gum disease is known to cause problems in other areas of the body. Some diseases that have been linked to gum disease include diabetes and cardiovascular disease.
Individuals considering gum grafting surgery solely for aesthetic reasons will most likely have to cover the entire cost of the procedure; however, dental insurance may cover some of the cost for those who are seeking treatment to address pain, loose teeth and/or shifting teeth, etc. Therefore, if you are experiencing problems, your dental insurance may very well cover a portion or possibly all your gum grafting surgery costs.
An Initial Consultation for Gum Recession at Lamas Dental Specialists in Miami
At your initial consultation, Dr. Lamas will want to find out what is causing your gums to recede. If the root cause of the recession is not determined and addressed, the recession will continue even after the current receding gumline is corrected. As such, Dr. Lamas urges his patients to be candid with him.
Dr. William P. Lamas will examine your mouth. He may also decide to take X-rays to evaluate the amount of bone loss you have around the root surfaces of your teeth (if any). After examining your mouth and looking at your X-rays, Dr. Lamas will have a clear picture as to the health of your teeth, bone and gums. Using this information, he will determine which gum recession procedure will provide you with optimal results.
Dr. William Lamas may need to take a photo of your teeth and gums to send to your dental insurance company. This photo is considered part of your dental record, which is confidential; therefore, it will not be used for promotional purposes or for any other reason.
Dr. Lamas and his staff will need to know if you have had any other surgical procedures and if you are currently taking any medications, vitamins and/or herbal supplements. If you smoke, vape or chew tobacco, please let Dr. Lamas know at this time. Any allergies to medications or to latex should be discussed at this consultation.
Preparing for Your Gum Recession Surgery with Dr. William P. Lamas in Miami
Gum infections must be cleared up before your gum recession surgery can be performed.
Since gum recession surgery is performed on an outpatient basis, you will return home after your procedure; therefore, you need to bring a driver with you on the day of your surgery. Although you will not receive general anesthesia during this procedure, you do receive pain medication, which could make driving hazardous.
After surgery, you will need to eat a soft diet for a week or two; therefore, heading to the store and picking up foods that comply with this type of diet before the day of your gum recession surgery is recommended.
Foods to consider include:
- Mashed potatoes.
- Pudding.
- Yogurt (no berries with seeds).
- Ice cream (no berries with seeds).
- Gelatin.
- Eggs.
- Cottage cheese.
- Pancakes.
- Soft cheeses.
- Pastas.
- Oatmeal (flavored okay, no berries).
- Wheat cereals (e.g., Farina, Cream of Wheat).
Remember to let cooked foods and hot beverages cool substantially before trying to eat or drink them. Cold/Cool foods and beverages like ice cream, yogurt, cool water and gelatin usually feel pleasant.
Avoid chewing on the areas that were treated and stay away from spicy foods for at least the first 10 days.
Dr. William P. Lamas provides each of his patients with high-quality, compassionate and personalized care. He is proud to be a top doctor on RealSelf and to be considered a leading Periodontist in South Florida, where he has been serving patients for more than 20 years.
At Lamas Dental Specialists in Miami, every staff member is dedicated to making each patient’s experience a comfortable one. If you have noticed that your gums are receding, contact Lamas Dental Specialists today at 305-440-4114 to schedule your initial consultation.
RELATED PROCEDURES:
DENTAL IMPLANTS
- Dental Implants
- Dental Implant Repair
- Dentures Vs. Dental Implants
- All-on-4® Dental Implants
- Single Tooth Replacement
- Multiple Teeth Replacement
- Full Teeth Replacement
- Same-Day Dental Implants
- Metal-Free Dental Implants
- TeethXPress®
- Implant Failure Treatment
ORAL SURGERY
- Bone Grafting
- Jaw Surgery
- Treatment Options
- TMJ Disorder
- Wisdom Teeth Removal
- Pericoronitis
- AlloDerm® Dental
- Dental Crown Lengthening
- Gum Grafting
- Gum Recession Treatment (Surgery)
- Gummy Smile Correction
- LAPIP
- LANAP
- Laser Gum Contouring (Gum Lift)
- Laser Gum Depigmentation (Gum Bleaching)
- Laser Periodontal Therapy
- Lip Repositioning
- Periodontal Plastic Surgery
- The Pinhole Surgical Technique™
- Teeth Cleaning
- Teeth Whitening
TECHNOLOGY OFFERED
- Plasma Rich Growth Factors
- Sedation Dentistry
- Oral Cancer Screening
- Oral DNA Testing
