The Pinhole Surgical Technique™
While some people choose to ignore the fact that their gumline is receding, gingival recession (i.e., gum recession, recession of the gumline) may indicate that periodontal disease (i.e., gum disease) is present. If left untreated, serious complications can result. Whereas, the traditional treatment for gingival recession is uncomfortable, lengthy and painful, a new treatment for receding gums is now available at Lamas Dental Specialists in Miami, the Pinhole Technique™. This pain-free procedure can provide an individual with the strong, beautiful gums he or she has lost.
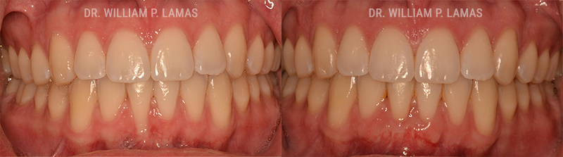
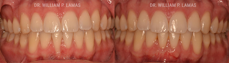
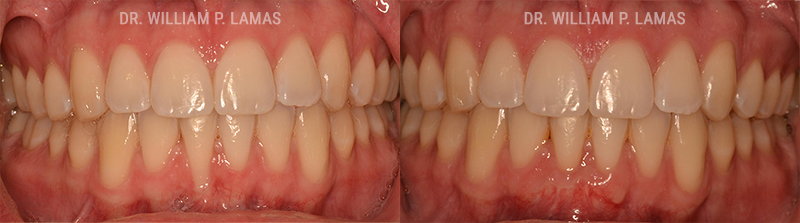
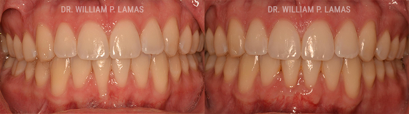
Pinhole Surgical Technique Before & After Photos
How Periodontal Disease Leads to Gum Recession
People who have periodontal disease develop receding gums as the bacteria responsible for causing the disease begins breaking down their gum tissue.
There are four stages of gum disease:
-
Gingivitis
– this is the mildest form of gum disease. At this stage, patients experience gum redness, inflammation and bleeding. Although gingivitis is fairly common, left untreated serious oral health problems are likely to result.
-
Mild periodontitis
– the gum tissue and the bone supporting the teeth are under attack. Although serious, if mild periodontitis is caught early it can be treated to prevent further damage.
-
Moderate periodontitis
– deep pockets are forming between the teeth and the gum. Bacteria is building up in these pockets next to the teeth. The chemicals the bacteria release destroy the bone and the gum tissue.
-
Severe periodontitis
– this is the most serious form of gum disease. At this point, the bone and soft tissue supporting the teeth have sustained significant damage. The teeth have become loose and may start to fall out.
The Dangers of Gum Recession
Each tooth has a root. This root is responsible for supporting the tooth within the jawbone. Once the gums recede, the roots of the teeth become exposed. Upon exposure, the root is subject to decay. A decaying root can cause pain and lead to tooth loss.
Do You Have a Receding Gumline: Here is What You Need to Look For
While looking in the mirror and smiling, if you notice that some teeth appear longer than the others, you may have a receding gumline. These variances in length are evident because in the areas where the gum is receding more of the tooth is exposed. While a receding gumline is a cosmetic concern, it is also an early sign of periodontal disease. If the gum disease is not treated, the recession will continue, eventually leading to tooth sensitivity and, if the periodontal disease is allowed to progress, tooth loss. Now is the time to seek treatment from an experienced periodontist in Miami who has the ability to perform the revolutionary Pinhole Technique™.
Gum Recession: The Cause
Gum recession is the term used to refer to a condition characterized by the gradual process of the gum tissue pulling away from the teeth. This recession typically results due to gum disease (gingivitis and periodontitis).
Gingival recession can also be brought on by a variety of other factors, including:
- an abnormal or irregular tooth position;
- lip or tongue piercings (these may irritate the gums);
- misaligned teeth;
- an overbite;
- abrasive brushing habits;
- using a hard-bristled toothbrush (which may inadvertently remove tooth enamel);
- genetics (i.e., a softer tooth enamel);
- poor dental hygiene;
- hormone changes (during menopause or pregnancy);
- smoking or chewing tobacco;
- bruxism (teeth grinding);
- trauma to the gum; and
- as part of the natural aging process.
The Importance of Treating Gum Disease and/or Gum Recession Right Away
Dr. William P. Lamas recommends addressing gum disease and/or gingival recession sooner rather than later so as to decrease the likelihood of infection, decay, and loss of teeth.
As time passes, gum disease may lead to a receding gumline. The receding gumline negatively affects the stability of the tooth. As the gum recedes, the root decays and infection sets in. When the decay is allowed to progress, portions of the root may begin breaking away. Once the root is unstable, so is the tooth; therefore, unless this problem is addressed, tooth loss is imminent.
Whereas, the traditional method used for treating a receding gumline is Gum Grafting, which involves cutting tissue from a site in the patient’s mouth and then grafting it onto the receding gumline using sutures, at Lamas Dental Specialists in Miami, Dr. Lamas is using groundbreaking, noninvasive, pain-free procedures, including the Pinhole Technique™, to help people who have a receding gumline. At his office in Miami, Dr. Lamas can perform the revolutionary Pinhole Technique™ to improve the patient’s oral health and restore his or her gumline.
The Traditional Treatment for a Receding Gumline: Gum Grafting
Until recently, the only treatment for gingival recession was Gum Grafting. This procedure required the periodontist methodically graft tissue from a donor site onto the patient’s gumline. This donor tissue may be obtained from the roof of the patient’s mouth (i.e., palate), which is referred to as a connective-tissue graft or a free gingival graft. Tissue may also be obtained from gum near the exposed root that is being addressed, which is referred to as a pedicle graft.
Gum Grafting Using AlloDerm®
Another gum-grafting option a patient has is to use AlloDerm®: When AlloDerm® is used, the patient does not provide the tissue to be grafted onto his or her gumline, instead the grafting material is attained from a donor bank.
Whether the grafting material is attained through a donor bank or from the patient, Gum Grafting is an uncomfortable surgical procedure that can take several hours to complete and, since only two teeth are able to be addressed during a single surgical session, multiple procedures may be necessary to treat all the areas where the patient’s gum is receding. Furthermore, the recovery period following a Gum Grafting procedure lasts approximately three weeks and there is a high risk of infection. For these reasons the Pinhole Technique™ is Dr. William P. Lamas’ procedure of choice for treating a receding gumline at his office in Miami.
The Traditional Gum Grafting Procedure – Patient-Provided Donor Tissue
Unless AlloDerm® is used, soft tissue is surgically removed from an area in the patient’s mouth (this is referred to as the donor tissue).
- A small flap is created in the roof of the mouth.
- A healthy piece of tissue is removed from beneath the flap.
- Stitches are used to sew the flap back into place.
- The tissue that was collected is the donor tissue that is used to create the graft.
- An incision is made over the teeth where the graft will be attached.
- The gums are pulled back and the tissue is inserted into the opening.
- The donor tissue is then attached via sutures to the patient’s remaining gum to cover the exposed root.
- Once the procedure is complete, as the gum heals, the grafted tissue and existing tissue become one; thus, rebuilding the patient’s gumline.
Potential Complications Following a Conventional Gum Graft Procedure
Although traditional Gum Grafting is an effective treatment for receding gums, complications include pain and discomfort as well as bleeding from the area where the donor tissue was removed. Furthermore, if the donor tissue used for the graft was attained from a different area of the mouth (not directly next to the tooth/teeth being addressed), the existing gum tissue may not match with the donor tissue; consequently, making the graft visible: The same is true if donor tissue from a bank is used for the Gum Grafting procedure. The innovative Pinhole Technique™ provides patients with a beautifully contoured gumline and healthier mouth, without the need for incisions, stitches or tissue grafts.
In Miami, The Traditional Gum Grafting Technique is Quickly Being Replaced with the Pinhole Technique™
The good news is that advances in Periodontology are quickly making the conventional Gum Grafting technique a thing of the past. Instead, periodontists are using innovative, noninvasive procedures like The Pinhole Technique™ to address receding gums. Using the Pinhole Technique™, Dr. William P. Lamas can rebalance the gumline and improve the patient’s oral health during one simple, noninvasive procedure.
The Revolutionary Pinhole Technique™ for the Treatment of Receding Gums is Now Available in Miami
Dr. William P. Lamas performs the revolutionary Pinhole Technique™ for patients at his office in Miami. Using this technique, Dr. Lamas can quickly and easily restore the patient’s gumline.
The Innovative Pinhole Technique™ is Used to Treat Gum Recession
The Pinhole Technique™ takes anywhere from 30 to 60 minutes to perform and Dr. Lamas can address up to 14 teeth in a single session.
- Before the procedure begins, patients receive a local anesthetic.
- While using the Pinhole Technique™ to address receding gums, Dr. William P. Lamas creates tiny 0.1-inch openings in the medial gumline.
- He targets the areas where the roots are exposed.
- Dr. Lamas uses a very fine needle to create these tiny, pin-sized holes.
- After creating the 0.1-inch opening, he uses a pointed, handheld tool to gently loosen the tissue in the targeted areas of the gum.
- Once the gum tissue is loosened, Dr. William P. Lamas carefully stretches the gumline and guides it into a position that covers the patient’s exposed root(s); thus, restoring his or her gumline.
- The gum tissue is held in place with collagen strips that are injected into the gum.
- Once the procedure is complete, patients receive post-operative instructions that are designed to assist with the healing process, which usually lasts no more than 24-hours.
The results achieved are dramatic and can usually be seen directly after Dr. Lamas completes the gum recession treatment at his office in Miami using the revolutionary Pinhole Technique™.
Recovering from the Pinhole Technique™
Following a Pinhole Technique™ procedure at Lamas Dental Specialists in Miami, patients have no restrictions, which means that they can eat whatever they like. In addition, patients are able to return to work or school on the same day they undergo their Pinhole Technique™ for treatment of a receding gumline. Furthermore, since incisions were never made, inflammation and swelling are usually of no concern; however, patients should expect to experience some gum sensitivity, but this symptom dissipates rather quickly.
The Benefits of the Pinhole Technique™ for the Treatment of Gingival Recession
Treating gingival recession early on can prevent further damage to the gum and tissue. When compared to the traditional Gum Grafting procedure previously used for treating a receding gumline, the benefits of the Pinhole Technique™ are many.
Benefits of the Pinhole Technique™ with Dr. Lamas at his office in Miami include:
- there is minimal discomfort;
- the procedure only requires the use of local anesthesia;
- there are no incisions made;
- minimal bleeding;
- there are no sutures or stitches needed;
- natural-looking, immediately-visible results;
- no scalpels or other invasive tools are necessary during the Pinhole Technique™;
- long-lasting results;
- fast healing;
- a short recovery time (less than 24-hours);
- that the Pinhole Technique™ is a minimally-invasive treatment;
- there is no need for donor tissue;
- that the Pinhole Technique™ is no more expensive than the traditional Gum Grafting surgery is; and
- there is a very low risk of complications.
Who Should Consider Having the Pinhole Technique™ with Dr. Lamas in Miami?
Anyone who is in overall good health but is suffering with a receding gumline should consider having the Pinhole Technique™ procedure at Lamas Dental Specialists in Miami.
An Initial Consultation with Dr. William P. Lamas at his Office in Miami
During the initial consultation, Dr. Lamas will examine the patient’s teeth and gums. He may also order x-rays so that he can determine if horizontal bone loss is an issue. After reviewing all the patient’s information, the x-rays and the results attained during the oral examination, Dr. William P. Lamas will know if the Pinhole Technique™ is the best option for restoring the patient’s gumline. If it is not, he may make recommendations as to what procedure(s) he believes will give the patient optimal results.
If your gums bleed easily and are inflamed, you may have gum disease. Seeking treatment now can prevent further damage to your gums and teeth, potentially eliminating the need for receding gumline procedures. However, if you notice that your teeth appear longer, gingival recession might already be underway. Waiting to seek treatment could lead to tooth loss. Contact Dr. William P. Lamas at his office in Miami to make an appointment today. The sooner you seek treatment, the greater chance you have of improving your gumline and saving your teeth.
Patients Receive Compassionate, Quality Care at Lamas Dental Specialists in Miami
At Lamas Dental Specialists, we are dedicated to providing our patients with the highest quality of care available. We also understand that people avoid the dentist for a variety of reasons; therefore, we offer sedation dentistry as a means to help these patients receive the dental care they need, without suffering the anxiety they typically experience during dental treatments.
If you need dental care, contact Lamas Dental Specialists today at 305-440-4114 to schedule an appointment with Dr. William P. Lamas for a consultation. Dr. Lamas’ office address is 2645 Southwest 37th Avenue, Suite 304 in Miami, Florida.
Rating: 5
Dr. William P. Lamas Reviewed by Elena Garcia
“Dr. Lamas THANK YOU for your great service your dedication and your passion for what you do!! I recommend him to any one who is seeking a great periodontist!! No case is too difficult or too complex for him!! Great office, Great doctor and awesome Team!!“
RELATED PROCEDURES:
DENTAL IMPLANTS
- Dental Implants
- Dental Implant Repair
- Dentures Vs. Dental Implants
- All-on-4® Dental Implants
- Single Tooth Replacement
- Multiple Teeth Replacement
- Full Teeth Replacement
- Same-Day Dental Implants
- Metal-Free Dental Implants
- TeethXPress®
- Implant Failure Treatment
ORAL SURGERY
- Bone Grafting
- Jaw Surgery
- Treatment Options
- TMJ Disorder
- Wisdom Teeth Removal
- Pericoronitis
- AlloDerm® Dental
- Dental Crown Lengthening
- Gum Grafting
- Gum Recession Treatment (Surgery)
- Gummy Smile Correction
- LAPIP
- LANAP
- Laser Gum Contouring (Gum Lift)
- Laser Gum Depigmentation (Gum Bleaching)
- Laser Periodontal Therapy
- Lip Repositioning
- Periodontal Plastic Surgery
- The Pinhole Surgical Technique™
- Teeth Cleaning
- Teeth Whitening
TECHNOLOGY OFFERED
- Plasma Rich Growth Factors
- Sedation Dentistry
- Oral Cancer Screening
- Oral DNA Testing
