Periodontal Plastic Surgery Before & After – Case 1

Periodontal Plastic Surgery Before & After Photo – William P. Lamas, DMD – Periodontics & Dental Implants.
Periodontal Plastic Surgery Before & After – Case 2

Periodontal Plastic Surgery Before & After Photo – William P. Lamas, DMD – Periodontics & Dental Implants.
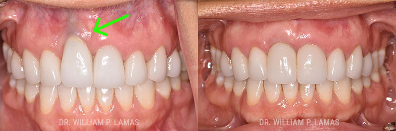
Periodontal Plastic Surgery Before & After – Case 3

Periodontal Plastic Surgery Before & After Photo – William P. Lamas, DMD – Periodontics & Dental Implants.
Utilizing Periodontal Plastic Surgery techniques , Dr. Lamas was able to accomplish full coverage of the exposed root of her tooth in one procedure. This procedure prevented the loss her natural tooth and any further surgeries.
Periodontal Plastic Surgery Before & After – Case 4

Periodontal Plastic Surgery Before & After Photo – William P. Lamas, DMD – Periodontics & Dental Implants.
She has extensive gingival recession and severely exposed root of the front tooth. She was very scared to lose her tooth and finally decided to do something. Dr. Lamas performed a Connective Tissue Graft procedure to improve the tissues surrounding the effected tooth thus saving the tooth. She is now stable.
Periodontal Plastic Surgery Before & After – Case 5

Periodontal Plastic Surgery Before & After Photo – William P. Lamas, DMD – Periodontics & Dental Implants.
This young lady came to Lamas Dental Specialists referred by her orthodontist after completing Invisalign treatment to align her teeth. She wanted to further perfect her smile and was unhappy about the fact her gum line was uneven and the implant placed years before was visible when she smiled. Utilizing very specific periodontal plastic surgery techniques, Dr. Lamas helped her achieve her desired smile. Now you cannot see the implant through the gums and her gumline is even.
Periodontal Plastic Surgery Before & After – Case 6

Periodontal Plastic Surgery Before & After Photo – William P. Lamas, DMD – Periodontics & Dental Implants.
Ms. N came to Lamas Dental Specialists referred by a friend. She was verry worried about loosing her tooth because the root had become extremely exposed and it was very sensitive. The roots of your teeth should never be visible/exposed. They need to be covered by bone and gum tissue in order to remain protected. Dr. Cabrera was able to achieve full coverage of the root making the tooth healthy again.