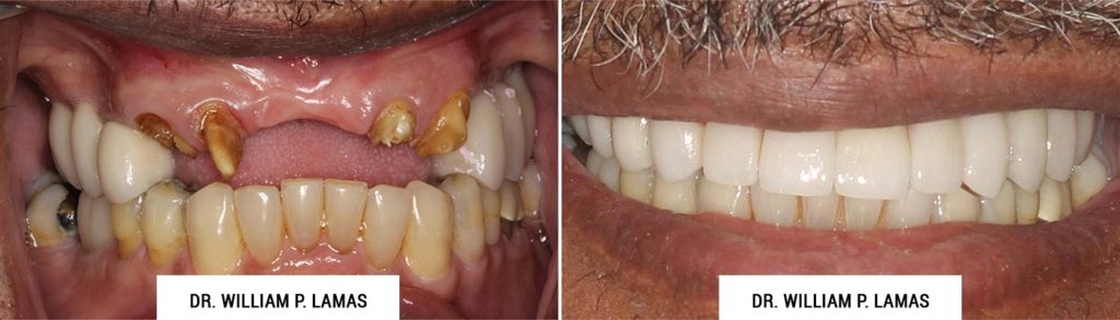
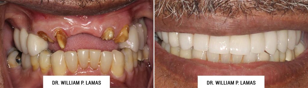
All-on-4® Dental Implants Before & After – Case 1

All-on-4 Dental Implants Before & After Photo – William P. Lamas, DMD – Periodontics & Dental Implants.
Albert was referred to our office by his general dentists because of recurrent tooth decay underneath his dental bridge. The roots of his teeth had severe decay and could not be saved. The failing roots were removed and replaced with dental implants. This treatment was performed in one surgery with IV conscious Sedation. Albert was very happy with the results because he received his new teeth the same day.
All-on-4® Dental Implants Before & After – Case 2

All-on-4 Dental Implants Before & After Photo – William P. Lamas, DMD – Periodontics & Dental Implants.
Lourdes is a 65 year old woman that suffers from Gastric-Reflux Disease. Many people are unaware that this disease causes acidity in the oral cavity and erodes teeth. The damage to her teeth was so great that we were not able to save her teeth. We recommended an All – on – 4 Implant treatment because implants are resistant to erosion due to acid reflux.
All-on-4® Dental Implants Before & After – Case 3

All-on-4 Dental Implants Before & After Photo – William P. Lamas, DMD – Periodontics & Dental Implants.
Sam is 50 years old. He was referred to Lamas Dental Specialist because of his strong bite , he broke his own teeth and crowns. We found that many of the roots were also fractured and most teeth could not be saved. Dr. Lamas recommended to replace his teeth with dental which are very resistant to breaking.
All-on-4® Dental Implants Before & After – Case 4

All-on-4 Dental Implants Before & After Photo – William P. Lamas, DMD – Periodontics & Dental Implants.
Maria is a young woman with severe gum disease. Due to the advance of her disease her teeth began to shift. They shifted out of the jaw bone and it became very difficult for her to eat . Unfortunately her teeth could not be saved . We transitioned her to dental implant supported teeth. She was very pleased with the results and was very confident to smile and eat normally again.
All-on-4® Dental Implants Before & After – Case 5

All-on-4 Dental Implants Before & After Photo – William P. Lamas, DMD – Periodontics & Dental Implants.
Abigail is an older woman that was suffering from severe dry mouth due to medications that she had to take for her health. The dry mouth affected her teeth and she developed severe cavities and root decay. Due to the damage her teeth had very poor prognosis. Dental Implant was recommended because they are affected by root decay or cavities. She had the dental implants done in one procedure and received her teeth on the same day.
All-on-4® Dental Implants Before & After – Case 6
Mari is a young woman in her late 30s . She came to us because she had noticed for a few months that her teeth were moving out of place and her gums would bleed all the time. She was very scared and just wanted her smile back. Mari was a perfect candidate for all on 4 dental implant treatment and is very please with the results.
All-on-4® Dental Implants Before & After – Case 7

All-on-4 Dental Implants Before & After Photo – William P. Lamas, DMD – Periodontics & Dental Implants.
This elderly woman with a long history of root/ tooth decay and overall failing dentition did not want to use dentures for the rest of her life. She came to Lamas Dental Specialists seeking a more natural, permanent solution to missing teeth. Dr. Lamas was able to replace all her upper and lower teeth with six implant on the top and six implants on the bottom. Now she can smile with confidence and enjoy foods that you are not able to chew if you would be wearing dentures.
All-on-4® Dental Implants Before & After – Case 8

All-on-4 Dental Implants Before & After Photo – William P. Lamas, DMD – Periodontics & Dental Implants.

All-on-4 Dental Implants Before & After Photo – William P. Lamas, DMD – Periodontics & Dental Implants.
Ray came to us referred by his general dentist. He had a removable denture on top and implants done on the bottom many years ago in another country. He wanted a more aesthetically pleasing and permanent solution to his long-term dental problems. Dr. Lamas placed implants on the top and bottom and an immediate fixed dental prosthesis to replace all the missing teeth. He looks and feel great and is very happy with the results.
