Dark Gum Depigmentation Before & After – Case 1

Dark Gum Depigmentation Before & After Photo - William P. Lamas, DMD - Periodontics & Dental Implants. Address: 2645 SW 37th Ave Suite 304, Miami, FL 33133 Phone: (305) 440-4114

Dark Gum Depigmentation Before & After Photo – William P. Lamas, DMD – Periodontics & Dental Implants.

Tanya came to our office after finding us online.  She had a goal to improve the overall look of her smile. She had her teeth straighten, whiting and finally decided that the only thing missing was to  get rid of the darkness of her gums. Since you don’t see much of the bottom gums at all she decided to just do the top. Now she is very happy with the way it all looks.

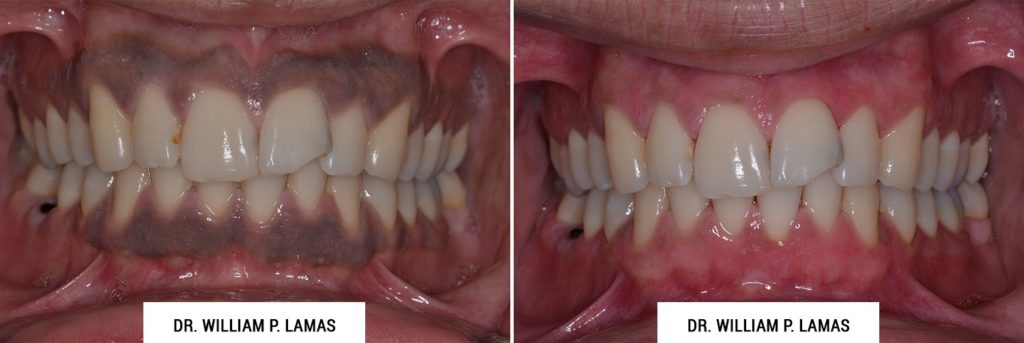
Dark Gum Depigmentation Before & After – Case 2

Dark Gum Depigmentation Before & After Photo - William P. Lamas, DMD - Periodontics & Dental Implants. Address: 2645 SW 37th Ave Suite 304, Miami, FL 33133 Phone: (305) 440-4114

Dark Gum Depigmentation Before & After Photo – William P. Lamas, DMD – Periodontics & Dental Implants.

This patient came to us because they wanted to reduce the hyperpigmentation of their gums. As you can see, Dr. Lamas was able to remove all the dark areas of pigmentation.

Dark Gum Depigmentation Before & After – Case 3

Dark Gum Depigmentation Before & After Photo - William P. Lamas, DMD - Periodontics & Dental Implants. Address: 2645 SW 37th Ave Suite 304, Miami, FL 33133 Phone: (305) 440-4114

Dark Gum Depigmentation Before & After Photo – William P. Lamas, DMD – Periodontics & Dental Implants.

Dark Gum Depigmentation Before & After Photo - William P. Lamas, DMD - Periodontics & Dental Implants. Address: 2645 SW 37th Ave Suite 304, Miami, FL 33133 Phone: (305) 440-4114

Dark Gum Depigmentation Before & After Photo – William P. Lamas, DMD – Periodontics & Dental Implants.

Tanya has full lips and an overall beautiful smile. She wanted to enhance her look by removing the pigmentation on her gums. She is very pleased with the results and now comes to our office for her hygiene visits.

Dark Gum Depigmentation Before & After – Case 4

Dark Gum Depigmentation Before & After Photo - William P. Lamas, DMD - Periodontics & Dental Implants.

Dark Gum Depigmentation Before & After Photo – William P. Lamas, DMD – Periodontics & Dental Implants.

If you are unhappy with the color of your gum tissues and feel like they interfere with the appearance of your smile, then gum bleaching is a great option for you. Some people have natural hyperpigmentation’s in their gingival tissues, causing them to look dark, spotted or even unhealthy. This was the case of this 30 year old female patient She wanted to aesthetically improve the appearance of her smile by bleaching her gums. This before and after is after just one procedure.

Dark Gum Depigmentation Before & After – Case 5

Dark Gum Depigmentation Before & After Photo - William P. Lamas, DMD - Periodontics & Dental Implants.

Dark Gum Depigmentation Before & After Photo – William P. Lamas, DMD – Periodontics & Dental Implants.

This 31-year-old patient wanted to improve the aesthetics of her smile. She has a high smile line and showed all of her hyperpigmented gums. Dr. Lamas was able to remove all the dark areas of pigmentation with a local anesthesia and a laser treatment.⁠

Dark Gum Depigmentation Before & After – Case 6

Dark Gum Depigmentation Before & After Photo - William P. Lamas, DMD - Periodontics & Dental Implants. Address: 2645 SW 37th Ave Suite 304, Miami, FL 33133 Phone: (305) 440-4114

Dark Gum Depigmentation Before & After Photo – William P. Lamas, DMD – Periodontics & Dental Implants.

Emily is a young woman that came to us referred by a friend that lives out of town. She had been smoking for just a few years and notice very quickly that her gums were becoming dark.  After just one treatment with the laser the gums became pink again. She promised herself never to smoke again.

Dark Gum Depigmentation Before & After – Case 7

Dark Gum Depigmentation Before & After Photo - William P. Lamas, DMD - Periodontics & Dental Implants.

Dark Gum Depigmentation Before & After Photo – William P. Lamas, DMD – Periodontics & Dental Implants.

Abby is a beautiful young woman with a big smile. She was not happy with her gums being pigmented and simply wanted them to be pink . Dr. Lamas was able to make her gums pink after just one treatment.  She is very please with the results.