Dental Implants Before & After Photos – Case 1

Dental Implants Before & After Photo – William P. Lamas, DMD – Periodontics & Dental Implants.
Dr. Lamas planned for the removal of the remaining maxillary and mandibular teeth. He would then place Same-Day Dental Implants and load them with a new temporary dentition all done in just one appointment under IV Sedation.
She is finally in her final set of teeth and very happy with the results. We are so happy to have been able to help her during her journey!
Dental Implants Before & After Photos – Case 2

Dental Implants Before & After Photo – William P. Lamas, DMD – Periodontics & Dental Implants.
Our 70 year old patient had a consultation with Dr. Lamas to have dental implant treatment on the entire top arch. He had had this same procedure done years before on the mandible. He lost his teeth due to aggressive Periodontal Disease but now has had Full -Teeth replacement with dental implants.
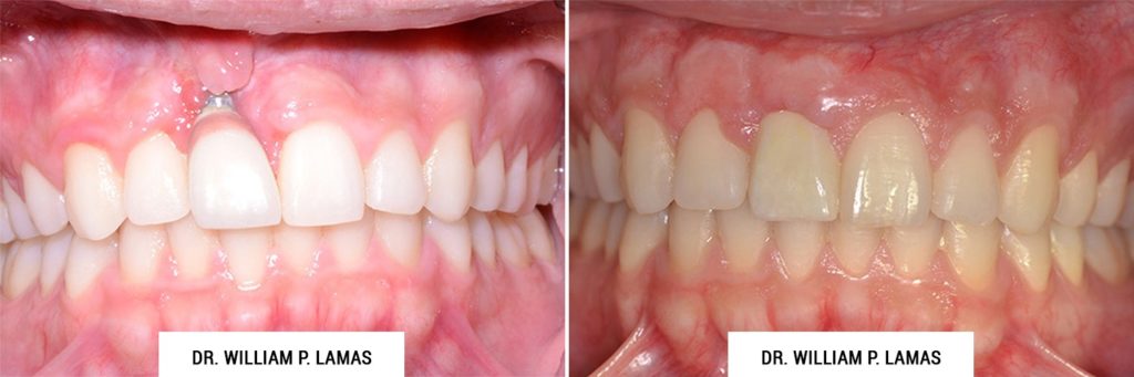
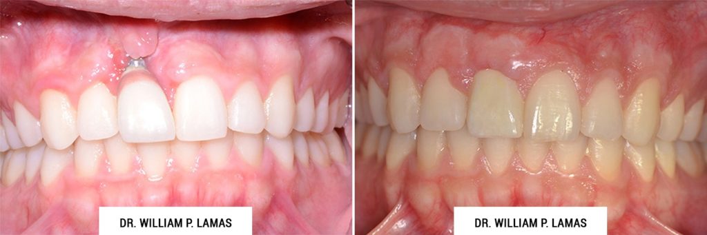
Dental Implants Before & After Photos – Case 3

Dental Implants Before & After Photo – William P. Lamas, DMD – Periodontics & Dental Implants.
This young female patient had a root canal done years ago. It eventually failed and had to be replaced with a dental implant and crown.
Dental Implants Before & After Photos – Case 4

Dental Implants Before & After Photo – William P. Lamas, DMD – Periodontics & Dental Implants.
This retired gentleman with several medical conditions and the inability to properly chew decided to turn his life around. Dr. Lamas improved his oral health and restore his smile in just one procedure.
Dental Implants Before & After Photos – Case 5

Dental Implants Before & After Photo – William P. Lamas, DMD – Periodontics & Dental Implants.
This elderly woman with a long history of root/ tooth decay and overall failing dentition did not want to use dentures for the rest of her life. She came to Lamas Dental Specialists seeking a more natural, permanent solution to missing teeth. Dr. Lamas was able to replace all her upper and lower teeth with six implant on the top and six implants on the bottom. Now she can smile with confidence and enjoy foods that you are not able to chew if you would be wearing dentures.
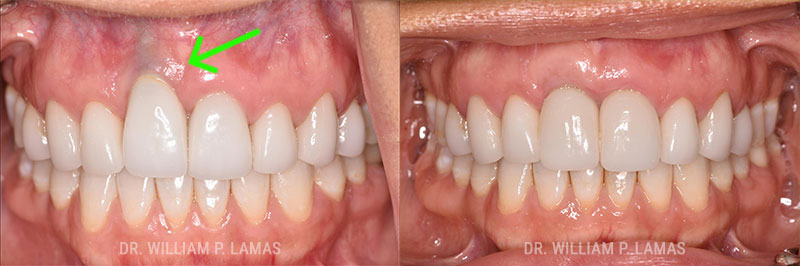
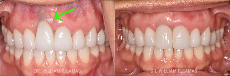
Dental Implants Before & After Photos – Case 6

Dental Implants Before & After Photo – William P. Lamas, DMD – Periodontics & Dental Implants.
This young lady came to Lamas Dental Specialists referred by her orthodontist after completing Invisalign treatment to align her teeth. She wanted to further perfect her smile and was unhappy about the fact her gum line was uneven and the implant placed years before was visible when she smiled. Utilizing very specific periodontal plastic surgery techniques, Dr. Lamas helped her achieve her desired smile. Now you cannot see the implant through the gums and her gumline is even.