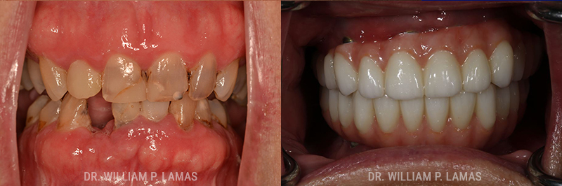
Full Teeth Replacement Before & After – Case 1

Full Teeth Replacement Before & After Photo – William P. Lamas, DMD – Periodontics & Dental Implants.

Full Teeth Replacement Before & After Photo – William P. Lamas, DMD – Periodontics & Dental Implants.
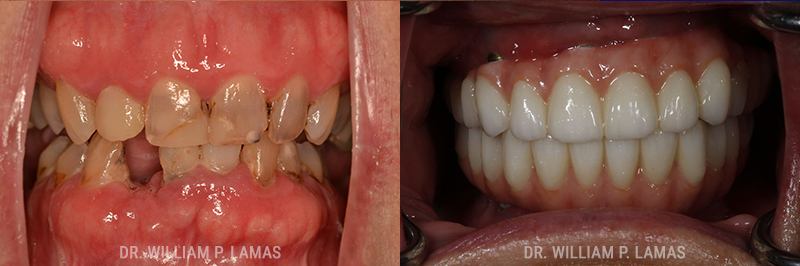
Full Teeth Replacement Before & After – Case 2

Full Teeth Replacement Before & After Photo – William P. Lamas, DMD – Periodontics & Dental Implants.
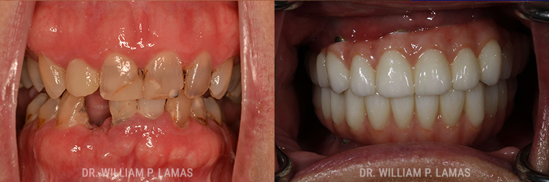
Full Teeth Replacement Before & After – Case 3

Full Teeth Replacement Before & After Photo – William P. Lamas, DMD – Periodontics & Dental Implants.
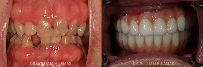
Full Teeth Replacement Before & After – Case 4

Full Teeth Replacement Before & After Photo – William P. Lamas, DMD – Periodontics & Dental Implants.

Full Teeth Replacement Before & After Photo – William P. Lamas, DMD – Periodontics & Dental Implants.
Ray came to us referred by his general dentist. He had a removable denture on top and implants done on the bottom many years ago in another country. He wanted a more aesthetically pleasing and permanent solution to his long-term dental problems. Dr. Lamas placed implants on the top and bottom and an immediate fixed dental prosthesis to replace all the missing teeth. He looks and feel great and is very happy with the results.