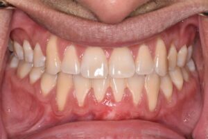
This young man came to our practice with noticeable gum recession affecting several teeth, most prominently tooth 24. Although Dr. Lamas recommended treating all areas of recession to prevent future complications, the patient chose to begin with the tooth showing the most concern.
Using a precise, minimally invasive grafting technique, Dr. Lamas successfully restored healthy gum tissue and fully protected the exposed root of tooth 24. This helps prevent further recession, sensitivity, decay, and potential mobility.
Addressing gum recession early, even on a single tooth, can make a significant difference in long-term oral health. Targeted treatment helps preserve tooth stability, maintain healthy bone support, and reduce the risk of future gum loss or tooth loss.

