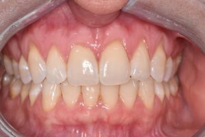
This patient came to our practice with gum recession affecting both the upper and lower arches. She chose to begin treatment on the upper arch, with plans to address the lower arch in the future.

By restoring the gums on the upper teeth, Dr. Cabrera protected the exposed roots, improved tooth stability, and reduced the risk of future recession and tooth loss. This treatment strengthens the foundation of her smile and supports long-term oral health.