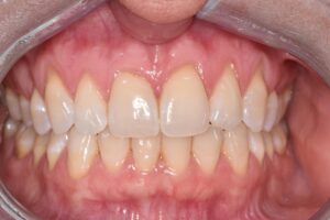
This patient came to our practice with gum recession affecting both the upper and lower arches. She chose to begin treatment on the upper arch, with plans to address the lower arch in the future.

This patient came to our practice with gum recession affecting both the upper and lower arches. She chose to begin treatment on the upper arch, with plans to address the lower arch in the future.
