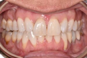
This patient came to us with gum recession, a condition in which the gums pull away from the teeth and expose the roots. Although it may appear to be a cosmetic issue, treating gum recession is medically necessary to prevent root sensitivity, decay, bone loss, and long-term tooth mobility.

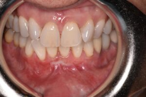
Using advanced microsurgical techniques, Dr. Lamas restored healthy gum coverage and rebuilt the protective tissue around the affected teeth. This treatment helps preserve the patient’s oral health, prevent further recession, and maintain long-term comfort and confidence.