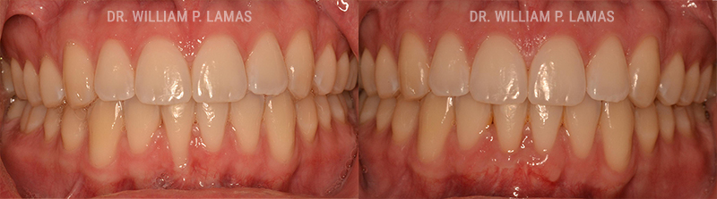
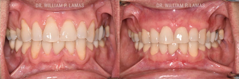
Pinhole Surgical Technique Before & After Photo – Case 1

Pinhole Surgical Technique Before & After Photos – William P. Lamas, DMD – Periodontics & Dental Implants.
This young man had a history of sensitivity coming from tooth number 25 due to loss of gum tissue around the root structure. As you can see from the before picture the gum tissue was no longer covering the root of the tooth. Dr. Lamas corrected this by performing a Connective Tissue Graft Procedure.
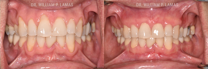
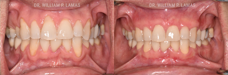
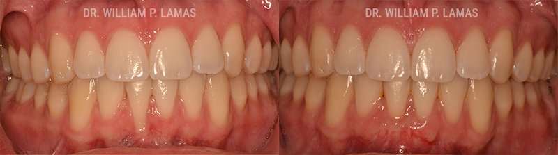
Pinhole Surgical Technique Before & After Photo – Case 2

Pinhole Surgical Technique Before & After Photos – William P. Lamas, DMD – Periodontics & Dental Implants.
This is a young man has had recession that was becoming worse throughout the years. Fear was preventing him from seeking help from a Periodontist. Dr. Lamas corrected his recession utilizing specialized Pinhole techniques in one appointment.
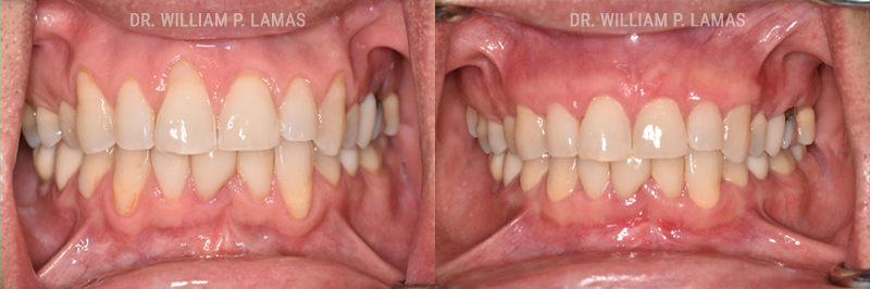
Pinhole Surgical Technique Before & After Photo – Case 3

Pinhole Surgical Technique Before & After Photo – Dr. Vianca Cabrera