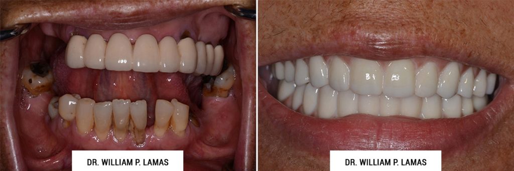
TeethXPress® Before & After – Case 1

TeethXPress Dental Implants Before & After Photo – William P. Lamas, DMD – Periodontics & Dental Implants.
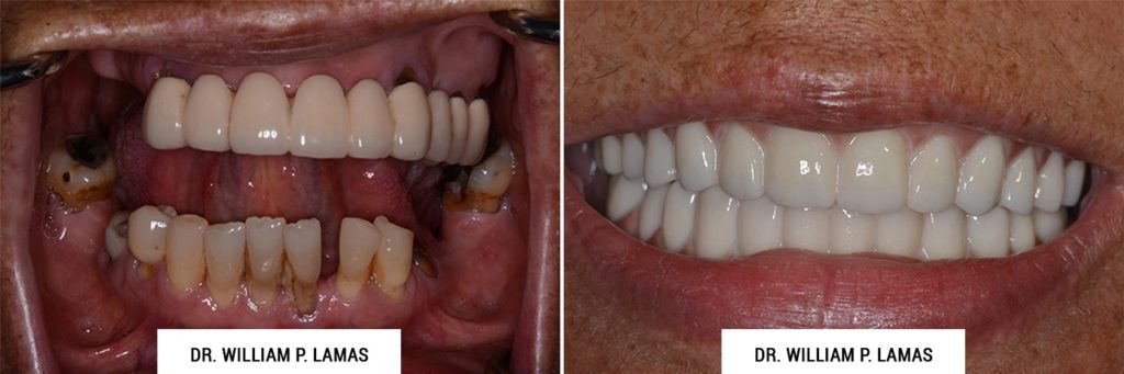
TeethXPress® Before & After – Case 2

TeethXPress Dental Implants Before & After Photo – William P. Lamas, DMD – Periodontics & Dental Implants.
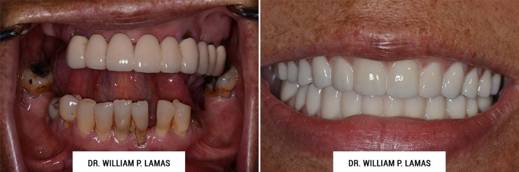
TeethXPress® Before & After – Case 3

TeethXPress Dental Implants Before & After Photo – William P. Lamas, DMD – Periodontics & Dental Implants.
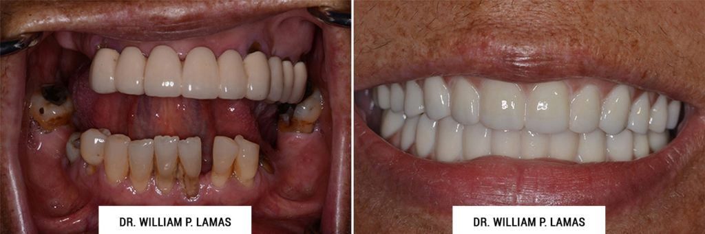
TeethXPress® Before & After – Case 4

TeethXPress Dental Implants Before & After Photo – William P. Lamas, DMD – Periodontics & Dental Implants.
TeethXPress® Before & After – Case 5

TeethXPress Dental Implants Before & After Photo – William P. Lamas, DMD – Periodontics & Dental Implants.
This 58-year-old patient came to see Dr. Lamas for the first time in 2017. At that time presented a few missing molars, generalized recession and periodontal disease. Dr. Lamas recommend 3 dental implants to replace the missing molars and gum grafting on her teeth to cover all the exposed roots.
Life got in the way and was not able to have the treatment done. Fast forward 2019 came back to see Dr. Lamas. The periodontal disease was more aggressive, the recession had advanced to the point that most of the teeth were not salvageable and some teeth had shifted to malposition.
Dr. Lamas recommends having all the teeth removed and having several implants placed to support a fixed denture. The TeethXPress procedure was performed in one day and after a few hours our patient left the office with a new set of teeth.
TeethXPress® Before & After – Case 6

TeethXPress Dental Implants Before & After Photo – William P. Lamas, DMD – Periodontics & Dental Implants.
TeethXPress® Before & After – Case 7

Dental Implants Repair Before & After Photo – William P. Lamas, DMD – Periodontics & Dental Implants.
This elderly woman with a long history of root/ tooth decay and overall failing dentition did not want to use dentures for the rest of her life. She came to Lamas Dental Specialists seeking a more natural, permanent solution to missing teeth. Dr. Lamas was able to replace all her upper and lower teeth with six implant on the top and six implants on the bottom. Now she can smile with confidence and enjoy foods that you are not able to chew if you would be wearing dentures.
TeethXPress® Before & After – Case 8

Dental Implants Repair Before & After Photo – William P. Lamas, DMD – Periodontics & Dental Implants.

Dental Implants Repair Before & After Photo – William P. Lamas, DMD – Periodontics & Dental Implants.
Ray came to us referred by his general dentist. He had a removable denture on top and implants done on the bottom many years ago in another country. He wanted a more aesthetically pleasing and permanent solution to his long-term dental problems. Dr. Lamas placed implants on the top and bottom and an immediate fixed dental prosthesis to replace all the missing teeth. He looks and feel great and is very happy with the results.
TeethXPress® Before & After – Case 9

Dental Implants Repair Before & After Photo – William P. Lamas, DMD – Periodontics & Dental Implants.
Mary is a 70 year old patient referred to us by her dentist of many years. She had some clinical challenges on the upper teeth such as failing root canals, broken teeth with veneers periodontal infection and so on. It was decided that all upper teeth would be removed and replaced with several dental implants in order to give her a fixed set of teeth thus improving her smile. Dental implants like in the case of Mary are recommended because of the longevity and permanent solution to many dental problems.