
Dark Gum Depigmentation Before & After Photo – William P. Lamas, DMD – Periodontics & Dental Implants.
For more, visit our Laser Gum Depigmentation (Laser Gum Bleaching) page or call us at (305) 440-4114.
š± @lamasdentalā ā ā ā ā ā
šØāāļø Dr. William P. Lamasā
š„ Periodontics & Dental Implantsā
āļø (305) 440-4114ā ā ā
š„ lamasdental.comā
š Miami, FLā

Dark Gum Depigmentation Before & After Photo
Case Details
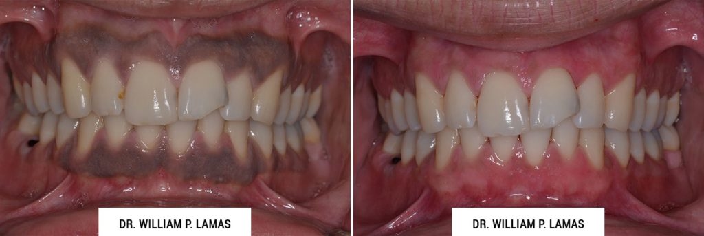
Tanya came to our office after finding us online. She had a goal to improve the overall look of her smile. She had her teeth straighten, whiting and finally decided that the only thing missing was to get rid of the darkness of her gums.
Tanya came to our office after finding us online. She had a goal to improve the overall look of her smile. She had her teeth straighten, whiting and finally decided that the only thing missing was to get rid of the darkness of her gums.
Since you donāt see much of the bottom gums at all she decided to just do the top. Now she is very happy with the way it all looks.
View Photos